

「五十肩(肩関節周囲炎)ですね」と診断され漫然とした治療を受けておられませんか?
『五十肩(肩関節周囲炎)』は江戸時代から使用されている俗語であり、日本整形外科学会超音波学会でも正式な疾患名ではないと言われております。
当院では、『五十肩(肩関節周囲炎)』という病名は一切使わず、レントゲン、エコー、伝達麻酔といった技術を駆使し、まずは正確な診断を行います。その後患者様の状態に応じてオーダーメイド治療を展開していきます。
保存療法でうまくいかない場合は手術療法が必要になる事があります。
その際は速やかに手術可能な関連病院にご紹介させて頂く事が可能です。当院は大阪ショルダーチームの一員である事から、その関連病院とも非常に密に連携を取っており、当院では手術後のリハビリについても対応させていただきます。
また、当院はJohnson & Johnsonの肩関節専門病院に指定されております。
以下に代表的な疾患をあげさせていただきます。

インピンジメントとは英語で「衝突」という意味です。骨の棘が飛び出したり、腱板に炎症が起きることで、肩甲骨と上腕骨に引っかかりが起き疼痛を引き起こします。この状態が長期的に続くと腱板断裂や拘縮肩といった重症疾患になってしまうためこの時点でしっかり治療する事が必要です。基本的にインピンジメント症候群で手術療法が必要になる可能性は非常に低く(国際雑誌では不必要との報告があります。)リハビリなども加えていきながら徹底的に保存療法を行います。
残念ながら症状が改善しない場合には大阪ショルダーチームの関連病院にご紹介させていただき、手術の必要性を判断していただくこととしております。

腱板とは肩甲骨と上腕骨を繋いでいる筋肉です。この腱板の機能としては上腕骨を安定化させ、腕を挙げる重要な役割を担っております。
当院では、まず初診時にエコーを用いて断裂の有無を確認します。断裂がある場合はそれが変性(加齢性変化)によるものなのか外傷性(転倒など)によるものかをエコーの所見より明らかにし、断裂サイズ、患者様の活動レベルに合わせてオーダーメイド治療を開始していきます。(エコーで診断が付きにくい場合はMRIを施行します。)約半数は3~6か月で症状が改善します。症状が改善した場合はそのまま保存療法を選択し定期的にレントゲンで変形の程度、エコーを用いて断裂サイズが変わってないかを慎重に診ていきます。
変形が進行した、断裂サイズが大きくなった、保存療法を行っても症状が改善しない、といった場合は年齢も考慮した上で手術療法を検討します。
腱板に石灰(炭酸アパタイト)が沈着する事で激痛を生じる疾患です。代謝異常によるとも言われていますが原因ははっきりとしておりません。
以前は手術療法が勧められていましたが、現在はエコーの発展によりエコーガイド下石灰除去術が普及してきております。
症状が改善しない場合には手術療法を検討します。
痛みがある状態で長期間放置されていたり、五十肩と診断され漫然とリハビリや治療されていた場合に起こる疾患で肩関節疾患の成れの果てとも言われております。
疼痛がある事で肩を動かさない期間が長くなり関節の袋(関節包)が硬くなってしまった状態です。
治療法には保存療法、手術療法、サイレントマニピュレーションがあります。
サイレントマニピュレーションは当院が最も得意としている治療です。サイレントマニピュレーションが適応外の場合は手術療法が必要になる事もあります。

スポーツや転倒を契機に発症するものです。若年者であればあるほど再発率が高い疾患です。
何度も脱臼を繰り返す事で軟骨が剥がれ将来的に変形性関節症のリスクが高まる事から、漫然と保存療法を行う事は良くありません。不安定性が高い場合は早期より手術療法を勧めさせていただいております。

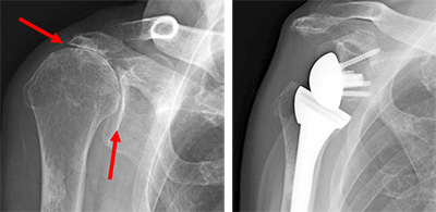
軟骨がすり減った事により骨同士が擦れ合う事で痛みを生じる疾患です。
まずは保存療法の適応となりますが、保存療法に反応しない場合が多いのも事実です。
保存療法に抵抗性の場合は患者様の生活レベル、年齢なども考慮し、希望があれば手術療法をお勧めさせていただいております。その際は希望に応じて大阪ショルダーチームでも特に人工関節を専門としている病院(年100例以上)へご紹介させていただきます。最近では従来の人工関節に加えてリバース型人工関節も行えるようになり、安定した治療成績を得る事が出来ております。

野球、スイミング、バレーボールなどを行なっている場合に多い疾患です。原因としては様々ありますが、前と後ろの筋肉や関節の袋のアンバランスで生じる場合がほとんどです。この場合しっかり安静を保ち、疼痛が無くなればリハビリを行う事で疼痛を再発しない事がほとんどです。いかに早期に安静を保てるかが鍵になります。筋力をつける事は逆効果になる可能性が高いためストレッチなどで柔軟性を加えていく事が多いです。基本的には手術になる事は少ない疾患です。

肩関節にとって「腱板」という組織が非常に重要な働きをします。しかし、レントゲンでは腱板の評価を行う事は出来ません。
当院では「腱板」の評価を初診時にエコーを用いて判断します。
更にエコーを用いてピンポイントで炎症が起きている部分に注射をすることで、確実に痛みを取り除き治療を進めていきます。
また、難治性と言われてる拘縮肩、石灰沈着性腱板炎にもエコーを用いた特殊治療を行う事で、劇的に症状を改善する事が出来ます。
下記より詳細をご確認下さい。